近日,淄博市中心医院心血管内科在副院长李波的带领下,结构性心脏病团队、心律失常团队、麻醉手术科及心脏超声科多学科协作,成功完成全国首例Redo房颤脉冲消融联合经导管二尖瓣缘对缘修复(TEER)一站式手术。该创新术式的顺利实施,标志着房颤与瓣膜病变的联合介入治疗迈入全新阶段,为复杂心脏病患者带来了多重临床获益与全新希望。

一站式治疗
打通心律与瓣膜的“病理链”
心房颤动与二尖瓣反流常相互影响、互为因果。长期房颤可导致心房重构与瓣环扩张,从而加重瓣膜关闭不全;而瓣膜病变导致的心房扩张又会促进房颤的发生与持续。以往,这类患者往往需分阶段、分次手术,治疗周期长、风险高。
此次联合手术的开展,实现了“节律控制+瓣膜修复”同步完成,从源头上打破了疾病间的恶性循环,实现了治疗协同、获益叠加、疗效倍增的目标。这意味着心律与结构性疾病的治疗,正从“分段修复”走向“系统整合”,让患者真正享受到“多病共治、一站式解决”的现代化医学模式。
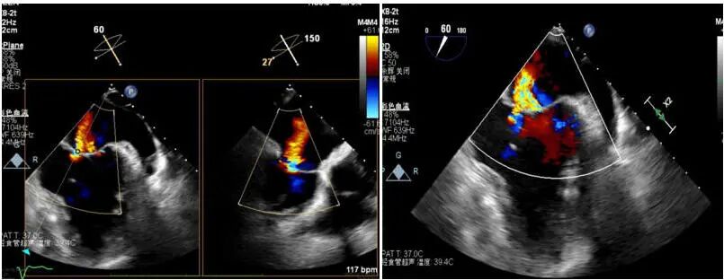
患者女性,72岁,反复心悸、胸闷多年,既往曾在外院接受房颤射频消融,但术后再次复发。入院后检查发现:房颤合并中重度二尖瓣反流,且瓣口面积仅4.3cm²,病情复杂、风险极高。经多学科团队联合评估,本次手术中,团队通过三维标测系统精准定位心律失常触发点,并以脉冲消融完成心房电活动重构。消融后心律即刻恢复窦性节律,体现了PFA在病例中快速、精准、微创的独特优势。与传统射频消融相比,脉冲消融显著减少肺静脉狭窄及食管损伤风险,术后房颤复发率更低,为房颤患者提供了更优的治疗方案。针对患者的中重度二尖瓣反流,手术团队在精准经食道超声导航下完成TEER瓣膜修复。瓣叶精准对合后,反流明显减少,跨瓣压差维持在理想水平,术后心功能显著改善。
二尖瓣缘对缘修复不仅有效降低反流负荷,更能改善左心室重构、提升心排血量,从而显著缓解心衰症状、提高运动耐量与生活质量。


通过快速、精准、微创脉冲消融,患者房颤转复为正常心律

术前患者二尖瓣反流中重度,二尖瓣后叶栓系,反流主要集中在2区,累及部分1区和3区,瓣口面积仅有4.3cm²

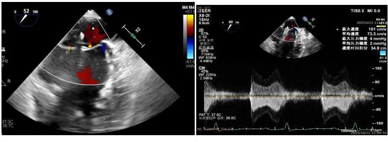
在瓣口面积偏小仅有4.3cm²的情况下,决定术中在2区植入一枚SW0609型号DragonFly™二尖瓣夹解决反流问题,术中用到DragonFly™二尖瓣夹前后瓣叶独立捕获功能,实现了对病变瓣叶的精准定位与捕获。术中房间隔穿刺高度3.8cm,夹闭后L侧微量反流,释放后反流未明显增加,跨瓣压差2mmHg
双剑合璧:1+1>2的多重获益
此次Redo房颤脉冲消融联合TEER手术的成功实施,不仅在技术上实现了两种高难度介入技术的完美融合,更在临床效果上展现出协同增益效应:
节律恢复→减轻瓣环扩张,稳定瓣膜结构;
瓣膜修复→减少心房负荷,降低房颤复发率;
双重干预→从根本上改善心功能与长期预后。
这种“1+1>2”的临床模式,为复杂房颤合并瓣膜病患者提供了更安全、更高效、更全面的治疗方案。
技术融合与团队协作
筑起“心脏介入的高地”
此次全国首例手术的成功,凝聚了多学科团队的智慧与经验。
从术前超声精准评估与个体化方案制定,到术中麻醉精细控制、影像导航精准引导,再到术后多学科联合管理,每一个环节的精准衔接都体现了市中心医院在结构性心脏病与心律失常介入治疗领域的综合实力与技术深度。
以患者为中心
让高端技术惠及更多生命
对患者而言,这一手术的成功不仅意味着摆脱长期心律紊乱与心衰困扰,更象征着高端医疗技术的本地化落地。淄博市中心医院在李波教授带领下,正以创新与担当推动心血管介入诊疗水平持续提升,让患者不出家门即可享受全国领先的治疗方案。
李波表示,瓣膜病与房颤的共存一直是临床治疗的难题。此次联合术式的成功,验证了一种新的综合治疗理念——通过节律控制与瓣膜修复的协同干预,可以在短期内改善症状,长期上改善心功能与预后。这不仅是一次手术的突破,更是心脏介入治疗理念的革新。
技术底蕴
从“山东首例”到“全国首创”
淄博市中心医院心血管内科作为山东省临床重点专科、国家级心脏瓣膜病介入中心建设单位,近年来不断实现突破:完成山东省首例高分子长寿命主动脉瓣膜植入术、成功实施全国首例Redo房颤脉冲消融+TEER联合术、获批MitraClip™全国技术培训中心等;团队累计完成心脏瓣膜手术百余例,技术水平均居省内领先。
未来,随着更多联合术式的探索与实践,“多病共治、一站式解决”的理念必将引领心脏疾病治疗的新方向。










